$$ 小切口无痕+开内眼角 图片不断更新中 请关注

2010年4月22号下午4点半终于做了双眼皮加开内眼角,躺在手术台打咯4针麻药,医生边和旁边的医生聊天,边做咯手术,大概40分钟左右,我觉得打麻药很痛,眼泪都出来咯内外眼角各一针,感觉医生在拉扯我的眼皮,还感觉在不停擦血和眼泪,还有剪刀剪眼皮的声音,不过还是做完咯。

我在成都做的,双眼皮是2500,内眼角是1600,还有个检查费100多,一共是4200左右

先来个我以前的眼睛。

[最后更新时间为 2010-06-09 12:27]

本帖的助威记录:助威总计 0 点 | 查看全部记录>>
    以前的眼睛,天生很肿的眼皮,眼睛短,两眼距离很宽手术第九天手术19天效果,觉得右眼内双。。。郁闷手术第22天效果,用手机照的,照片没处理的,眼睛擦咯点眼膏,眼皮有点亮

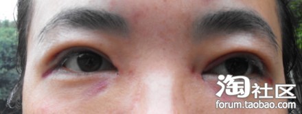
手术一个月后的样子,照片不是狠清楚

    手术1个半月后

[最后更新时间为 2010-06-08 21:46]

做咯手术两三个小时以后,麻药还没过,还不是恨疼,就是睁眼睛有点紧,医生让多练习睁眼睛,但是不要动眉毛,以便成形

手术3小时后的左眼手术三小时后的右眼手术两三个小时后眼睛平视的效果

好像还不错哦,我也一直想去做双眼皮,可是怕痛呵呵,MM半个月后发张照片上面看下完全恢复后的样子哦

手术当天晚上用高枕头 睡觉····还吃了消炎药 擦了庆大霉素和金霉素眼膏

第4月23号的照片

睁开眼很难受睁不开

淤血比前一天严重 肿的很厉害 左眼要疼的厉害些 老是觉得左右眼不一致

左眼内眼角开的大些 右眼怕以后偏内双 很是担心这是平视

朋友手抖···对焦没对好

左眼···对焦依然不好右眼。发光的是红霉素眼膏··

[最后更新时间为 2010-04-27 18:25]

9楼 luluxia218 说:

好像还不错哦,我也一直想去做双眼皮,可是怕痛呵呵,MM半个月后发张照片上面看下完全恢复后的样子哦

4月24

左眼很痛

感觉左眼的外眼角扯起痛

两只眼睛内眼角开始有点发痒

眼屎很多

吃得很清淡

还是觉得右眼眼角和左眼的眼角不对称

好像多了个肉芽

平视图

闭眼图

右眼眼角多了个肉芽

左眼闭眼

右眼

4月25第三咯,去复查,我跟医生说眼角不对称,两个双眼皮也不一致,他让我等等恢复

现在来4月26的照片吧,也就是第四天的

第四天平视图,黄黄的估计是红霉素眼膏擦咯让眼睛周围变色,眼睛淤血也开始出来

第四天闭眼

第四天左眼

第四天右眼

第四天左眼闭眼

第四天右眼闭眼

4月27日,也就是第五天,下面来个图

第五天平视图,眼睛还是淤血,发黄的是红霉素眼膏

第五天左眼

第五天右眼

第五天闭眼图

第五天左眼闭眼图

第五天右眼闭眼图

4.28日就是第六天平视图

第六天左眼,眼睛觉得痒,有点红

第六天右眼

第六天闭眼图

第六天左眼闭眼图

第六天右眼闭眼图

今天是5.1,手术第九天,已经正常洗脸洗头了,现在来上图吧,照片是老公拍的,相机太好,把什么雀斑痘痘和毛孔全照出来咯,呵呵,各位MM就将就看,嘻嘻

手术第九天平视图(忽略都痘痘哈),还是有点淤血,眼皮黄是快好的先兆。

第九天左眼,眼角还有线头,但,医生说会自己消失的。

第九天,右眼,眼皮下还有淤血有点泛黄,也还有线头

第九天,闭眼图(忽略痘痘和雀斑)双眼皮的痕迹还是很明显,希望一个月后会自然

手术第九天左眼闭眼图

手术第九天,右眼闭眼

好久没更新照片,来更新一下,来更新手术第十九天的照片,总更觉得右眼没左眼好,右眼不杂双

第十九天平视图

第十天左眼

第十九天右眼

第十九天左眼闭眼效果

第十九天右眼闭眼效果

第22天平视效果

第22天左眼

第22天右眼

第22天闭眼效果

[最后更新时间为 2010-05-15 22:35]

额,看着还行,期待完全恢复照……

燕姐。怕怕啊。不知道恢复后会是什么样子

话说,MM的眼睛今天还是挺肿的哦,

我也是4月22号做的双眼皮,

到现在已经不怎么肿了。

就是医生给我开的睫毛翻的好高,

看起来怪怪的。

我今天去复诊,我跟医生说我的两只眼角对称,他让我再等恢复看看,我急啊,怕成大小眼不怕

最新评论

发表评论

为“$$ 小切口无痕+开内眼角 图片不断更新中 请关注”说几句吧

评论内容:发表评论不能请不要超过250字;发表评论请自觉遵守互联网相关政策法规。

热卖商品

    Copyright © 2009-2024 yr.pinnace.cn All Rights Reserved. 17育儿网 版权所有

    粤ICP备11040004号-1